Reverse Total Shoulder Arthroplasty

  • A reverse total shoulder arthroplasty (R-TSA) is a specific variation of a shoulder replacement surgery.

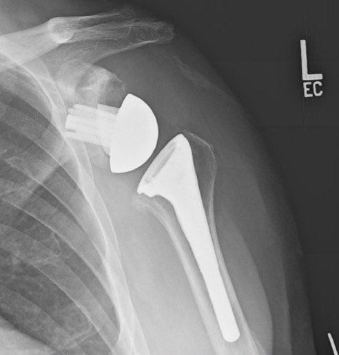
    The shoulder joint (glenohumeral joint) is still being replaced as it would be in an anatomic total shoulder arthroplasty; however, instead of retaining the normal anatomic relationship of the ball-and-socket, the R-TSA switches/”reverses” the ball and the socket.

    In other words, the replacement ball (glenosphere) now will be fixated to your shoulder socket (glenoid) and the socket (cup/humeral stem component) will be placed into the arm bone (humerus).

    • The R-TSA was designed to function as a shoulder replacement when there is non-existent or functional rotator cuff.

    • The biomechanics of the R-TSA changes the center of rotation (COR) for the shoulder joint to maximize use of the deltoid as the primary mover of the arm/shoulder (instead of the rotator cuff).

    • R-TSA is also frequently used in cases of severe deformity and bone loss as a result of advanced osteoarthritis.

  • To be a candidate for a reverse total shoulder replacement, you would likely be diagnosed with one or more of the following conditions:

    • Rotator cuff arthropathy — arthritis as a result of a chronically torn/absent rotator cuff.

    • Glenohumeral osteoarthritis — loss of cartilage in the ball-and-socket joint of the shoulder.

    • Irreparable or massive rotator cuff tear — a very large tear of multiple tendons of the rotator cuff or a tear pattern that does not allow for a repair.

    • Proximal Humerus Fracture — complex or displaced fractures of the proximal humerus (ball) can qualify as candidates.

    • Severe glenoid or humeral bone loss — bone loss often as a result of severe, long-term arthritis.

    • The surgery involves making an oblique 5-6cm incision over the anterior shoulder/arm.

    • The primary surgical plane occurs between the deltoid and pectoralis major muscles.

    • The biceps tendon, if still intact, is often cut and secured to the pectoralis major tendon (tenodesis).

    • The subscapularis is released to allow access to the shoulder joint and repaired at the end of the case, if indicated.

    • The arthritic surfaces of the ball and socket are removed/prepared.

    • A baseplate is secured with screws (4-5 in total) into the glenoid (socket) and a hemispherical ball is secured to this (glenosphere).

    • A humeral stem is potted into the canal of the humerus with a size based on your anatomy.

    • A highly cross linked polyethylene cup is secured into the humeral stem and articulates with the glenosphere.

    • The glenosphere (ball) is typically made of a cobalt-chromium alloy.

    • The baseplate and humeral stem are typically made of a titatium alloy.